티스토리 뷰
목차

입안이 헐고, 혀가 따갑고, 입술이 트는 증상은 누구나 한 번쯤 겪어봤을 거예요.
대부분은 “피곤해서 그런가 보다” 하고 넘기지만,
자주 반복되거나 오랫동안 낫지 않는다면 단순한 문제는 아닐 수 있어요.
입안 점막은 몸 전체에서 가장 민감한 조직 중 하나예요.
그래서 몸에 이상이 생기면 빠르게 반응하기도 하죠.
이 민감한 부위에 염증이 자주 생긴다면,
단지 구강 내 문제가 아니라 몸속 염증 상태가 악화되고 있다는 뜻일 수 있어요.
오늘은 입안, 혀, 입술에 생기는 염증 증상들을 함께 살펴보고,
그 원인과 관리 방법, 그리고 생활 속에서 우리가 놓치기 쉬운 점들을 하나하나 정리해 볼게요.
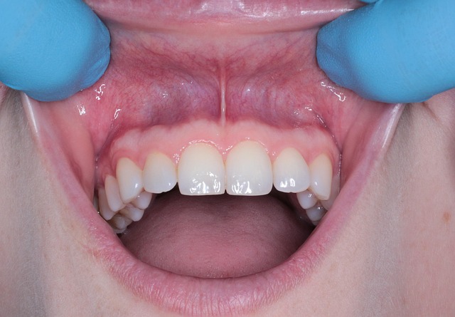
자주 헐고 아픈 입안, 단순 구내염이 아니에요
입안에 동그랗고 하얗게 파인 궤양이 생기면서 아프다면 대부분 ‘아프타성 구내염’이라고 불러요.
흔히들 피곤하거나 면역이 떨어졌을 때 생긴다고 알고 있지만,
사실 비타민이나 미네랄 부족, 소화기계 염증, 스트레스 같은 다양한 원인이 있을 수 있어요.



특히 입안 궤양이 한 달에 여러 번 반복되거나, 2주 이상 계속 낫지 않는다면
면역 이상 질환이나 만성 염증성 질환을 의심해봐야 해요.
대표적인 예로는 베체트병, 장염, 위염 등이 입안 점막에 영향을 줄 수 있어요.
또한, 위산이 자주 역류하거나 위 기능이 떨어지면 입안 점막이 자주 자극받아 궤양이 잘 생기고,
회복도 더뎌져요.
입안을 자주 깨물거나 칫솔질이 거칠어도 반복적인 손상이 누적되면 염증이 쉽게 생길 수 있어요.
혀에 생기는 신호들, 그냥 넘기지 마세요
혀가 따갑고 맵거나 짠 음식을 먹을 때 통증이 유난히 심하다면 ‘설통’이라고 부르는 혀 염증이 의심돼요.
특히 혀끝이나 가장자리에 불편함이 집중되거나,
불에 덴 것처럼 얼얼한 느낌이 든다면 몸속 염증 반응의 일환일 수 있어요.



혀에 하얀 코팅처럼 백태가 끼고 잘 없어지지 않는다면 장 건강 이상,
위산 역류, 간 기능 저하 같은 전신 문제를 반영하는 경우도 많아요.
혀는 단순히 미각을 담당하는 기관이 아니라,
소화기와 순환기 상태를 그대로 반영하는 ‘거울’이라고 볼 수 있어요.
비타민B군 부족, 특히 B2·B6·B12는 혀 점막을 민감하게 만들고, 감각 이상까지 동반할 수 있어요.
철분이나 아연 부족도 혀 통증과 관련이 깊어요.
이런 영양소들은 면역 기능과도 밀접하게 연결돼 있기 때문에, 결핍 상태에서는 염증이 반복될 수 있어요.
입술 트고 갈라지는 것, 그냥 건조한 게 아니에요
입술이 마르고 갈라지는 건 건조한 계절이나 습관 탓도 있지만,
지속적으로 반복된다면 몸속 영양 불균형이나 염증 상태를 의심해봐야 해요.
특히 입술 양 끝이 찢어지거나 피가 나고, 딱지가 생긴다면 ‘구순염’이라는 염증 질환일 수 있어요.



입술은 외부에 가장 많이 노출된 점막이고, 피부보다 훨씬 약해서 자극에 쉽게 반응해요.
평소 립밤을 과도하게 바르거나 입술을 자주 핥는 습관도 점막을 손상시키고,
오히려 염증을 유발할 수 있어요.
자외선에 장시간 노출되면 입술 점막이 화상을 입고 염증이 생기기도 해요.
특히 철분이나 아연, 비타민B2가 부족한 경우
입술 점막이 약해져서 쉽게 트고 상처가 생기며, 회복도 더뎌져요.
점막 염증 완화에 도움 되는 습관
- 충분한 수분 섭취: 입안 점막은 항상 촉촉해야 해요. 하루 1.5L 이상 물을 마시고,
수박·오이·배처럼 수분이 많은 과일과 채소도 함께 섭취해 보세요. - 비타민 B군 보충: 특히 B2, B6, B12는 점막 회복에 직접적으로 작용해요.
식사를 통해 보충하기 어려운 경우에는 복합 비타민으로 보완해도 좋아요. - 스트레스 완화: 스트레스는 입안 염증을 악화시키는 큰 원인이에요.
명상, 심호흡, 산책, 짧은 낮잠 등으로 마음을 다스려주세요. - 식단 조절: 너무 맵거나 짠 음식, 튀김, 알코올은 점막을 자극해요.
특히 카페인이 많은 커피나 에너지음료는 점막 건조를 유발해요. - 양치 습관: 너무 세게 문지르거나 거품 많은 치약은 오히려 점막을 상하게 할 수 있어요.
저자극 천연치약이나 소금물로 가글 하는 것도 한 방법이에요. - 수면과 휴식: 몸이 지치면 점막도 쉽게 상처받아요.
잠을 충분히 자고, 몸을 쉬게 해주는 게 회복의 첫걸음이에요.


이럴 땐 꼭 병원에 가보세요
- 궤양이 2주 이상 지속되거나 점점 커질 때
- 혀가 점점 붓거나 말하기, 삼키기에 불편함이 생길 때
- 입술이나 입안에 고름처럼 노란 분비물이 생길 때
- 식사할 때 통증이 심해서 음식 섭취가 어려운 경우
- 입안이 헐고 동시에 전신 피로나 체중 감소가 나타날 때
이런 증상들은 단순한 구내염을 넘어선 ‘전신 염증’의 일환일 수 있어요.
특히 반복적으로 입안이 아프거나, 혀·입술 증상이 함께 나타나는 경우엔
혈액검사나 염증 지표 검사를 통해 원인을 확인해 보는 것이 좋아요.



구강 염증과 장·간 건강의 연결 고리
많은 분들이 놓치기 쉬운 부분이지만, 입안의 상태는 장 건강과도 연결돼 있어요.
장내 유익균이 부족하거나 소화 흡수가 잘 되지 않으면 점막도 약해지고 염증이 잘 생겨요.
또한 간 기능이 저하되면 해독 기능이 떨어져,
입안 점막에 독소가 쌓이거나 백태가 자주 생기기도 해요.
이런 경우 단순히 입안 치료만으로는 좋아지지 않기 때문에
장과 간 기능까지 함께 돌보는 것이 중요해요.
입안, 혀, 입술에서 반복적으로 나타나는 작은 염증들은
‘지금 몸 상태가 조금 예민하다’는 신호일 수 있어요.
그 신호를 잘 알아차리고, 생활 습관과 식단을 조금씩 바꿔주기만 해도 염증은 훨씬 줄어들 수 있답니다.
무심코 넘기기 쉬운 입속 변화, 이번 기회를 통해 조금 더 따뜻하게 돌아봐주셨으면 좋겠어요.
다음 편에서는 ‘손가락 붓고 쑤시는 증상’을 중심으로 관절과 염증의 연결을 함께 살펴볼게요.
아래는 같이 보면 좋은 글을 모아봤어요. 도움이 되었으면 좋겠습니다!
염증수치 높을 때 나타나는 증상 [도움되는 생활습관,몸이보내는 신호]
정기 건강검진 결과표에서 '염증수치가 높음'이라는 말을 본 적 있으신가요? 이 숫자가 의미하는 것은 단순한 감염의 유무를 넘어, 몸속 어딘가에 일어난 작은 변화일 수 있습니다. 어떤 신호로
steve71.com
만성염증이 위험한 이유 [방치 시 생기는 5가지 문제]
붓고 아픈 급성염증과 달리, 만성염증은 증상이 거의 없다. 조용히 시작돼 시간이 갈수록 몸을 지치게 만들고, 다양한 질환의 뿌리가 된다. 오늘은 이 만성염증이 왜 위험한지를 들여다본다. 감
steve71.com
염증수치 낮추는 생활습관 [생활 루틴 정리 및 일상 팁!]
아무리 잘 자도 개운하지 않고, 매일 똑같이 피곤하고, 이유 없이 여기저기 쑤신다면 혹시 염증수치가 높아진 건 아닐까요? 병원에 가서 검사하면 CRP, ESR, WBC 같은 항목에서 경고등이 켜진 걸 본
steve71.com
'[생활정보]' 카테고리의 다른 글
| 염증과 만성피로, 몸 전체의 연결 [염증 경고 알아보기] (1) | 2025.06.06 |
|---|---|
| 손가락 쑤심 증상과 원인 총정리 [아침마다 손이 뻣뻣하다면?] (2) | 2025.06.06 |
| 염증 신호 자가 진단 [발가락부터 귀까지+염증의 경고 신호 정리] (2) | 2025.06.06 |
| 염증수치 낮추는 생활습관 [생활 루틴 정리 및 일상 팁!] (0) | 2025.06.06 |
| 염증에 좋은 음식 7가지 [면역 밸런스 살리는 식단] (0) | 2025.06.06 |